01、口中有异味,一说话就让人烦,食物残渣在口腔中进行发酵,会产生很多有害细菌,时间长了会有一股难闻的味道,自己可能没有感觉到,其实其他人是能够闻到的。
02、经常不刷牙,牙齿肯定会变黄,这样会影响自己的形象,相信每一个人都不愿意一张嘴笑,就让别人看到自己一口的黄牙。
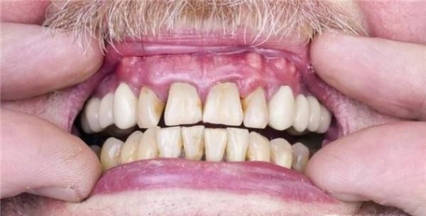
03、经常不刷牙,会形成牙垢,牙垢长期存在牙龈中,口腔容易发炎,会造成牙龈肿痛,牙龈出血等疾病。
04、经常不刷牙,年龄大了,牙齿就容易松动。如果好好保护自己的牙齿,牙齿就不会早早脱落了。

01、口中有异味,一说话就让人烦,食物残渣在口腔中进行发酵,会产生很多有害细菌,时间长了会有一股难闻的味道,自己可能没有感觉到,其实其他人是能够闻到的。
02、经常不刷牙,牙齿肯定会变黄,这样会影响自己的形象,相信每一个人都不愿意一张嘴笑,就让别人看到自己一口的黄牙。
03、经常不刷牙,会形成牙垢,牙垢长期存在牙龈中,口腔容易发炎,会造成牙龈肿痛,牙龈出血等疾病。
04、经常不刷牙,年龄大了,牙齿就容易松动。如果好好保护自己的牙齿,牙齿就不会早早脱落了。
相关文章:1. 买不到票可以上车补票吗2. 冻干粉可以和酒精混在一起用吗?3. 洗手的方法和要求是什么4. 微笑的含义和内涵5. 滴露消毒液怎么用6. 护目镜或防护面罩使用后多久应清洁与消毒7. 公共卫生间怎么消毒8. 离婚结婚必须要在户口所在地吗9. 消毒粉可以寄快递吗10. 无水乙醇生活用途
网公网安备:皖ICP备2020019022号-8 Copyright ¢ 2020-2025 Powered by V1.8 All Rights Reserved 技术支持:乐呵呵网
声明:本站所有资源以学习为主